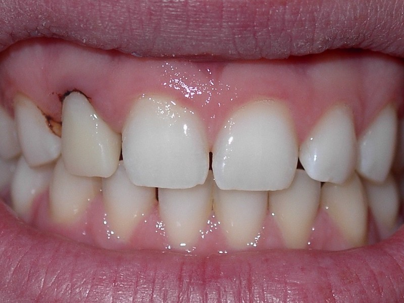
Couronne céramique Unitaire, Single Crown

On pose une couronne dentaire quand une dent est trop abîmée et qu'elle ne peut être restaurée par un soin dentaire classique (obturation ou «plombage»).

La couronne dentaire est la partie visible de la dent. Elle est en céramique.

Par extension, on appelle couronne dentaire une prothèse qui va venir se fixer sur un faux moignon (ou «inlay core») lui-même inséré dans la racine.

Dental crowns are used for a number of reasons, but most specifically because your tooth had a root canal or a very large filling that put your tooth at risk for fracturing.

Couronnes multiples,Bridge, Multiple Crowns

NB: Tous les cas cliniques ont été réalisés par le docteur COVO.                                                            All the clinical cases have been completed by dr COVO at his private practice.

CLINIQUE DENTAIRE CONVENTIONNEE

 

Lundi au vendredi de 10h00 à 19 h00 

Monday until friday from 10:00 am until 7:00 pm.

 

Fermé le jeudi

Closed on thursday

Dr Laurent Covo

37 avenue Victor Hugo

75116 Paris

 

Téléphone

01.44.17.99.44

 

Fax

01.40.67.72.82

 

Email

lcovo@wanadoo.fr

 

Accès Handicapés

Disabled Access

 

Service Voiturier

VALET Parking